当院での犬の歯石除去(スケーリング)のやり方【歯周病を進行させないために】
1.はじめに
武蔵野市・三鷹市・小金井市・調布市・西東京市地域の皆様、こんにちは。犬・猫をはじめ、ウサギ・デグー・インコなどの様々なエキゾチックアニマルを診察する「武蔵野まりん動物病院」です。
ご家族のワンちゃんに関して ・最近口臭が強い ・歯磨きをしているのに歯石がついてきている ・歯がぐらぐらしてきた など感じられる方もいるのではないでしょうか。 実は3歳を超える犬の8割以上が歯周病を患っていると言われています。
そして犬の歯周病の主な原因は歯垢(プラーク)と歯石です。
歯垢とは口腔内の細菌や唾液などが混ざり合ってできるもので、それが放置されると歯石になります。 さらにその歯石が歯と歯茎の間にたまり、そこで細菌が繁殖すると歯茎の炎症が起こり歯周病が進行していきます。
前述の通り、歯周病の進行には歯垢と歯石をなくすことが大切です。 歯垢除去は日常のハミガキが大切ですが、一度ついてしまった歯石をとるには全身麻酔下での歯石除去が必要です。 今回は当院における歯石除去のこだわりや実際の症例をご紹介します。
2.当院における歯石除去のこだわり
「歯石除去はどこの病院でやっても同じでしょ」 と思われている飼い主様も少なくないかもしれません。
しかし私はそうは思いません。
見た目上は綺麗になっていても歯周ポケット内の歯石除去ができておらず歯周病治療になっていないケースや、逆に歯を傷つけてしまい歯周病を進行させてしまうケースもあります。
当院では歯周病の進行を予防するための歯石除去を行っています。
今回は特にこだわっているポイントを3点ご紹介します。
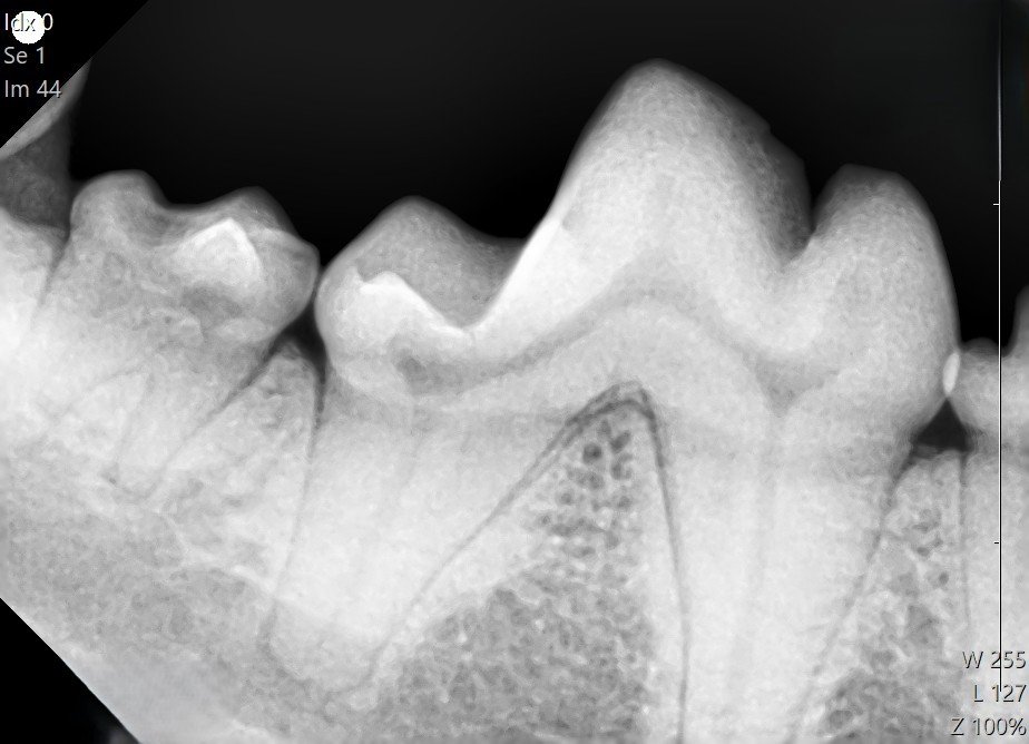
①歯科用レントゲン装置により、現在の歯の状態を確認する。
これにより、目に見えない歯根部の評価をしっかりと行い、残せる歯をしっかり残すような処置が可能となります。 (歯科レントゲン撮影はオプションとなります)

②歯周ポケット内を徹底的に綺麗にする。
歯周ポケットにある歯石や、歯周病の原因となる細菌が集まって形成されるバイオフィルムを徹底的に除去するスケーリング・ルートプレーニングを行います。ルートプレーニングは歯根の表面にこびりついた汚れを丁寧に除去して表面を滑らかにすることで、汚れが再付着しにくい状態にする処置です。
③歯石除去後のご自宅でのデンタルケアのレクチャー
歯石除去を行った後に、いかにきれいな状態で歯を保てるかが、再度歯石をつかせないようにするために大切です。 当院では飼い主様のご希望に応じて、スタッフによるデンタルケアのご指導をさせていただきます。
3.当院での歯石除去の実際の症例
先日歯石除去を行ったわんちゃんをご紹介します。
写真のように、全体的に歯の表面に茶色い歯石が付着しているのが分かると思います。
全ての歯を部位に分けてレントゲン撮影を行います。
今回は全体的に歯周病の進行は見られなかったため、まだまだ歯は温存できると判断しました。
超音波スケーラーを使用して丁寧にスケーリングを行います。
最後に2種類のペーストを用いて歯を磨いて終了です。
見た目上だけではなく、歯周ポケット内もかなり綺麗になりました。
4.まとめ
当院では「口元が痛くなってから治療する」のではなく、「口元を痛くさせないための予防」を大事にしています。
定期的な歯科検診や必要に応じて麻酔下での歯石除去、歯科レントゲン撮影を行うことを推奨しています。
武蔵野市や三鷹市地域をはじめ、多くのわんちゃんの歯の健康維持のお役に立てれば幸いです。 お気軽にご相談ください。